Мета
Метою цього дослідження була оцінка ефективності та безпеки нової неінвазивної HIFU-процедури для лікування синдрому вагінальної релаксації.
Метод
В пілотному дослідженні брали участь 5 пацієнток, які в період з березня 2015 року по лютий 2016 року отримували нову терапію HIFU (апарат Ultra Veraтм) для підтяжки піхви. Пацієнток добирали відповідно до належних критеріїв виключення та включення, всі вони надали письмову згоду на участь. Пацієнтки були віком від 30 до 51 року (в середньому 44 роки), всі народили одну дитину або більше, 1 з них – через кесарів розтин, тоді як 4 пацієнтки – природним шляхом. Усі п’ятеро страждали на стресове нетримання сечі у легкій формі. Лікування за допомогою Ultra Vera складалося з двох сеансів з інтервалом від 16 до 36 діб.
Сеанси проводили на рівні енергії 6 згідно з протоколом процедури загалом виконано 264 імпульси за 2 проходи картриджа S1.5 на ділянках A, B і C та 176 імпульсів за 2 проходи картриджа M3.0 на ділянках B і C [ малюнок 2].
Результати
Усі п’ятеро пацієнток відзначили покращення з боку синдрому вагінальної релаксації, також посилилося сексуальне задоволення їхніх партнерів. Можна також пересвідчитися, що симптоми нетримання сечі зменшилися, в деяких пацієнток зменшилася секреція.
Ми усвідомлюємо, що це пілотне дослідження має певні недоліки (відносно малий розмір досліджуваної групи, відсутність контрольної групи та підтвердженого опитувальника, дуже короткийчас спостереження). Проте ми вважаємо, що нова HIFU-терапія (з Ultra Vera) є дуже ефективною для підтяжки піхви з мінімальним дискомфортом для пацієнток під час лікування та без побічних ефектів.
1. Передмова
Синдром вагінальноі релаксації (СВР) зазвичай пов’язують з пологами та природним старінням. Багатократні вагітності та пологи сприяють погіршенню стану СВР, а також настанню менопаузи, що викликає зниження рівня гормонів і атрофію піхви.
Найпоширенішим з хірургічних методів лікування є лазерне лікування. Однак воно супроводжується болем і потребує тривалого періоду відновлення. Через це чимало дослідників шукають неінвазивний метод лікування СВР.
Можна стверджувати, що нещодавно з’явилася нова неінвазивна процедура лікування з використанням HIFU, яка дає хороший клінічний результат із коротким періодом відновлення. Процедуру (Ultra Vera) було розроблено для лікування вагінальних захворювань шляхом адаптації існуючої технології HIFU, що застосовувалася для лікування міоми матки (некротизація високою енергією). Процедура не впливає на інші тканини та використовує термічне пошкодження шляхом формування малої зони коагуляції (приблизно 0,8 мм у діаметрі, температура понад 60°C) зі значно нижчим рівнем енергії, ніж при HIFU- лікуванні міоми.
Процедура стимулює регенерацію колагену та дегенерацію шару lіminі propriі, а також забезпечує скорочення та покращення пружності м’язового шару. Це дослідження підтверджує безпеку та ефективність неінвазивної HIFU-процедури як нового методу лікування синдрому вагінальної релаксації.
2. Методи
а) Критерії. Загалом до участі в дослідженні, яке тривало з березня 2015 до лютого 2016, залучено 5 пацієнток. Критерії виключення передбачали вагітність або можливість такої, наявність імплантів, активну менструацію, прийом антикоагулянтів, які впливають на згортування крові або агрегацію тромбоцитів, або інших препаратів (за винятком нестероїдних протизапальних, таких як аспірін для знеболення або в незначних щоденних дозах), проходження стероїдної терапії або імуносупресивної терапії, наявність психічних захворювань або розладів сполучної тканини. Вік пацієнток від 38 до 51 року, в середньому 44). Всі 5 пацієнток народжували та страждали на нетримання сечі в легкій формі.
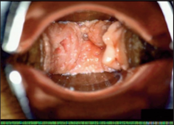
b) Процедура лікування. Стінка та вхід піхви були оброблені за протоколом за допомогою неінвазивної HIFU-терапії (апарат Ultra Vera), яка передбачає ретельний контроль відповідності процедури оброблюваній тканині та забезпечує підтяжку тканин. Піхву пацієнток (в середньому 8 – 10 см) обробляють, розділяючи на 3 ділянки (A – зона навпроти шийки матки, B – серединна частина піхви, а – вхід у піхву). [Малюнок 1].

Всі пацієнтки пройшли 1-2 сеанси, огляд здійснювався через 0, 16 і 36 діб. Процедура виконувалася без введення дзеркала та процесу сушіння шляхом рухання частини маніпули, що обертається (маніпула складається з нерухомої та обертальної частин). Енергія ультразвуку випромінювалася вздовж висоти стінки піхви, крок за кроком витягуючи маніпулу в напрямку від A до C та не перекриваючи вагінальний канал кілька разів. Рівень енергії 6, випромінювання за протоколом. Всього виконано 264 імпульси картриджем S1.5 у 2 проходи на ділянках A, B і C, а також 176 імпульсів картриджем M3.0 у 2 проходи на ділянках B і C [Малюнок 2].



Майже всі пацієнтки оцінили лікування HIFU як абсолютно безболісне під час виконання процедури картриджем M3.0, тоді як під час процедури картриджем S1.5 пацієнтки повідомляли про легкий біль.
Під час спостереження до та після процедури, через 16 і 36 діб було зроблено вагінальні фотографії за допомогою Tele-Cervico (цервікографія) та виконано порівняння результатів до /після.
Результати
Для цілей цього дослідження залучено 5 пацієнток, які страждали на СВР і нетримання сечі у легкій формі. Усіх пацієнток лікували за допомогою HIFU (апарат Ultra Vera). Спостереження та оцінка: через 16 і 36 днів після лікування. Всі сеанси виконувалися в клініці. Середня тривалість сеансу становила 25 хвилин, пацієнток просили повідомляти про будь-який біль або дискомфорт під час процедури. У той час як двоє пацієнток зазначили, що лікування Ultra Vera загалом не викликало болю, решта пацієнток повідомили, що відчували незначний біль або деяке печіння під час процедури з картриджем M3.0. Однак такий біль чи відчуття печіння зникали за кілька години. Повідомлень про інші побічні ефекти не було.
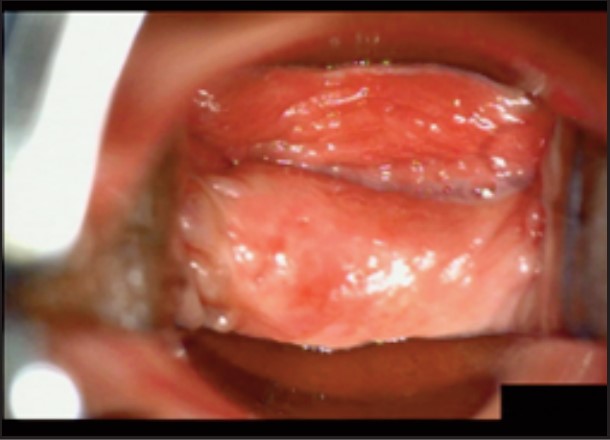
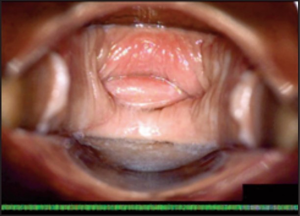
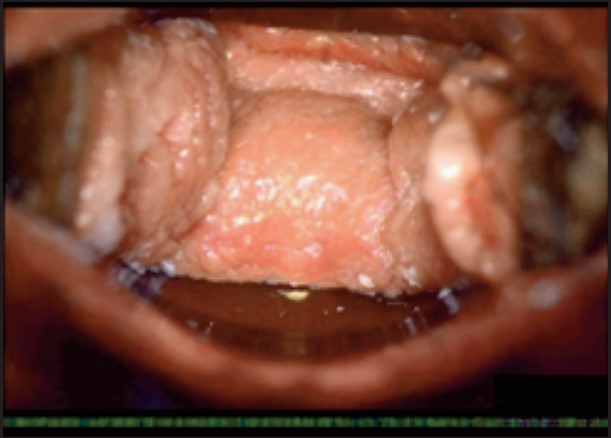
У пацієнток 1, 2 і 3 вагінальні складки утворилися та увиразнилися помітніше та сильніше, ніж вони були до лікування, ми оцінили цей клінічний результат після 1-го сеансу (через 16 діб). На нашу думку, такі виразні складки свідчать про підтяжку слизової оболонки піхви, що добре впливає на ущільнення піхви та проблему нетримання сечі. Через 36 діб після процедури ми спостерігали, що зруйнована анатомічна структура піхви відновила Н-подібну форму, тобто стала набагато здоровішою. Зокрема, у пацієнтки 4 структура піхви була цілковито зруйнована, стінки піхви обвисали через втрату еластичності. Однак через 36 днів після процедури структура піхви повністю відновила здорову Н-подібну форму [Див. Малюнок 3].
Усі 5 пацієнток відповіли, що спостерігають значні покращення, також покращилося сексуальне задоволення їхніх партнерів. Всі пацієнтки, зокрема, відповіли, що SUI також дещо покращився після лікування. Лікування вагініту за допомогою HIFU нічим не відрізнялося від лікування лазером, але лікування HIFU не викликає кольпоксерозу, на відміну від лазерного лікування, яке викликає тимчасовий кольпоксероз, який минає протягом тижня.
Пацієнтка №1
До



Після 36 діб



| Вік | 44 |
| Пологи | Кесарів розтин. 1 хлопчик і 1 дівчинка |
| Лікування | 2 сеанси / 1 місяць |
| Огляд | 36 діб |
| Протокол | 1 сеанс – 440 імпульсів 2 сеанс – 200 імпульсів |
| Результати | √ Істотне збільшення складок √ Підтяжка √ Зменшення секреції |
Пацієнтка №2
До



Після 36 діб



| Вік | 38 |
| Пологи | Природні. 1 дівчинка. |
| Лікування | 2 сеанси / 1 місяць |
| Огляд | 36 діб |
| Протокол | 1 сеанс – 440 імпульсів 2 сеанс – 200 імпульсів |
| Результати | √ Відновлено H-подібну структуру √ Збільшено складки √ Дещо зменшилися симптоми SUI |
Пацієнтка №3
До



Після 16 діб



Після 36 діб



| Вік | 46 |
| Пологи | Природні. 2 хлопчики. |
| Лікування | 2 сеанси / 1 місяць |
| Огляд | 16, 36 діб |
| Протокол | 1 сеанс – 440 імпульсів 2 сеанс – 200 імпульсів |
| Результати | √ Відновлено H-подібну структуру √ Дещо зменшилися симптоми SUI √ Зросло задовлення партнера √ Зросло задоволення пацієнтки |
Пацієнтка №4
До



Після 36 діб



| Вік | 51 |
| Пологи | Природні. 2 хлопчики. |
| Лікування | 2 сеанси / 1 місяць |
| Огляд | 36 діб |
| Протокол | 1 сеанс – 440 імпульсів 2 сеанс – 200 імпульсів |
| Результати | √ Істотне відновлення H-подібної структури √ Зменшилася секреція √ Підтяжка |
Пацієнтка №5
До



Після 36 діб



| Вік | 43 |
| Пологи | Природні. 1 хлопчик і 1 дівчинка. |
| Лікування | 2 сеанси / 1 місяць |
| Огляд | 36 діб |
| Протокол | 1 сеанс – 440 імпульсів 2 сеанс – 200 імпульсів |
| Результати | √ Збільшилися складки √ Дещо зменшилися симптоми SUI √ Зміцнилися м’язи √ Зросло задовлення партнера |






